在线留言 客服及时处理
门诊热线 028-62520775
ts12012066微信问诊
有一种营养元素,
母乳里几乎没有,食物里少得可怜,
想要补充全靠“外援”。
少了影响生长发育,过多摄入也不可... ...
它就是——
什么是维生素D?如何判断是否缺乏维生素D?维生素D是咋补充的?每个年龄段应该补多少?... ...今天,小编就跟大家一一捋顺这些问题。1什么是维生素D?维生素D是一种脂溶性维生素,对人体有着至关重要的作用。维生素D有调节钙、磷代谢、促进骨骼发育、促进细胞分化、调节免疫等作用。对于每个人,特别是处在生长发育期的儿童和青少年来说,都是不可或缺的营养素。若长期缺乏,对身体会造成不小的负面影响。缺乏维生素D容易导致的相关疾病:1佝偻病常见于生长发育期的儿童和青少年2骨软化骨质钙化不足,多发生于成年人3骨质疏松骨密度和骨质量下降,容易骨折4免疫系统疾病人体免疫系统异常而导致的疾病2如何判断是否缺乏维生素D?维生素D有促进钙吸收的作用,如果缺乏了,骨骼健康会受到较大的影响。若关节经常疼,骨骼常常出现响声,腿脚经常抽筋,有骨质疏松的情况,常常骨折,说明身体可能缺乏维生素D了。人们常常误把缺乏维生素D认为是缺钙,若一直在补钙,但腿脚还是常常有不舒服的症状,说明可能存在维生素D缺乏。维生素D缺乏常见症状:佝偻病和骨软化是维生素D缺乏在临床特有的表现,其他症状还有:关节松弛、脊柱弯曲、贫血、脱发、膝内翻、胸廓畸形等。佝偻病发生于生长发育中的婴幼儿及儿童时期,骨软化症发生于成年人,临床表现存在明显的差别。3如何补充维生素D?人体可以自身合成一部分维生素D,但是人体自身合成的量达不到身体每日的需求量。总的来说,维生素D的补充来源有三个:① 食物我们可以从饮食中获取维生素D,包括野生三文鱼(每3.5盎司含有800 IU的维生素D)、鱼肝油(每茶匙700 IU)、鱼类、强化乳制品和橙汁,以及鸡蛋。然而,从食物中吸收的维生素D的量是有限的,患有脂肪吸收障碍、食物不耐受和桥本其他消化问题的人,可能会进一步削弱他们吸收营养的能力。此外,乳制品、鸡蛋和含糖饮料对有桥本和血糖问题的患者可能会有问题,可以补充维生素D补充剂。② 晒太阳维生素D主要通过紫外线阳光的照射在体内合成,多晒太阳可以促进身体合成维生素D,能起到很好的补充作用。最好选择早晨或者下午,每次晒15分钟左右即可。③ 补充剂补充剂是目前最直接有效的维生素D补充方式。美国国家医学院关于维生素D摄入量建议如下:* 建议在补充维生素D3的同时,每年检测25-羟维生素D的水平1-2次,更加精准的补充维生素D3。本文指导:高瑞宁 | 副主任医师|
什么是维生素D?
如何判断是否缺乏维生素D?
维生素D是咋补充的?
每个年龄段应该补多少?
... ...
今天,小编就跟大家一一捋顺这些问题。
1
什么是维生素D?
维生素D是一种脂溶性维生素,对人体有着至关重要的作用。维生素D有调节钙、磷代谢、促进骨骼发育、促进细胞分化、调节免疫等作用。
对于每个人,特别是处在生长发育期的儿童和青少年来说,都是不可或缺的营养素。若长期缺乏,对身体会造成不小的负面影响。
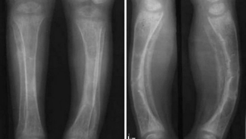
缺乏维生素D容易导致的相关疾病:
2
维生素D有促进钙吸收的作用,如果缺乏了,骨骼健康会受到较大的影响。若关节经常疼,骨骼常常出现响声,腿脚经常抽筋,有骨质疏松的情况,常常骨折,说明身体可能缺乏维生素D了。
人们常常误把缺乏维生素D认为是缺钙,若一直在补钙,但腿脚还是常常有不舒服的症状,说明可能存在维生素D缺乏。
维生素D缺乏常见症状:
佝偻病和骨软化是维生素D缺乏在临床特有的表现,其他症状还有:关节松弛、脊柱弯曲、贫血、脱发、膝内翻、胸廓畸形等。
佝偻病发生于生长发育中的婴幼儿及儿童时期,骨软化症发生于成年人,临床表现存在明显的差别。
3
如何补充维生素D?
人体可以自身合成一部分维生素D,但是人体自身合成的量达不到身体每日的需求量。总的来说,维生素D的补充来源有三个:
① 食物
我们可以从饮食中获取维生素D,包括野生三文鱼(每3.5盎司含有800 IU的维生素D)、鱼肝油(每茶匙700 IU)、鱼类、强化乳制品和橙汁,以及鸡蛋。
然而,从食物中吸收的维生素D的量是有限的,患有脂肪吸收障碍、食物不耐受和桥本其他消化问题的人,可能会进一步削弱他们吸收营养的能力。此外,乳制品、鸡蛋和含糖饮料对有桥本和血糖问题的患者可能会有问题,可以补充维生素D补充剂。
② 晒太阳
维生素D主要通过紫外线阳光的照射在体内合成,多晒太阳可以促进身体合成维生素D,能起到很好的补充作用。最好选择早晨或者下午,每次晒15分钟左右即可。
③ 补充剂
补充剂是目前最直接有效的维生素D补充方式。美国国家医学院关于维生素D摄入量建议如下:
* 建议在补充维生素D3的同时,每年检测25-羟维生素D的水平1-2次,更加精准的补充维生素D3。
本文指导:高瑞宁 | 副主任医师|
忘记密码?
登录 没有帐号?立即注册